Expert diagnosis & treatment
For a variety of lung conditions that cause shortness of breath, cough & chest pain.




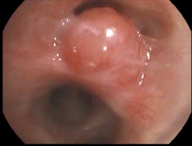
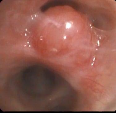
Bronchoscopy An investigation of the airways and lungs with a camera. Performed under sedation or light general anaesthesia it is painless and safe. It allows direct visual assessment of the airways with biopsies and lavage for culture.


Sympathectomy for excessive sweating (Hyperhydrosis)or Long QT syndrome.
This is performed through one or sometimes 2 small ports (VATS) and the sympathetic chain is divided at the second and third rib levels. The diathermy used to burn the nerve is shown in the picture of a live case performed in malta recently. For hyperhydrosis the procedure is performed on both sides during the same anaesthesia, wheras for long QT syndrome it is performed on the left chest only.
Lung Cancer
Treatment and Diagnostic strategies have changed so much over the last few years. Surgery remains the most effective treatment option with the chance of acheiving complete cure. However we continue to work hand in hand within a multidisciplinary team to ensure the best outcomes.




Pectus Carinatum
This is a congenital deformity where the sternal bone and costal cartilages protrude outward. It may initially be mild and gradually worsen as the child grows. Often presenting in teenage years due to the cosmetic and psychologiocal disturbance it causes.
Pectus Brace
Thankfully treatment is now readily available froma young age. This is because the treatment is non-invasive and carries no risk and therefore can be started at a young age. The brace is custom made to each individual case and requires specialised 3D scanning.
Dr David Sladden
Consultant Heart and Lung Surgeon
Mater Dei Hospital, St James Hospital, St Thomas Hospital
